Al final seré también paisaje. Memoria para alguien por un tiempo. Y nada más.
La madrugada del 21 de abril pasado me despierta un cólico en el bajo vientre como anuncio de unos días por venir en los que mi cuerpo de 68 años de edad se convierte en campo de batalla entre la salud y la enfermedad. Escribo esta memoria breve del episodio para mis amigos del IMO 73
Afrontar el cuerpo. En algo somos jóvenes. Una enfermedad así el el siglo XIX me hubiera llevado al camposanto con la inscripción “Murió de cólico miserere”. Hoy, normalmente se sobrevive. Pero mientras tanto, el dolor físico diluye la conciencia, la convierte en un asunto más de las funciones corporales. No hay YO que valga en el vértigo de una oclusión intestinal.
Afrontar la muerte. Puedes contemplarla desde la pérdida de tus amigos más antiguos, aquellos con los que jugaste béisbol con una pelota de esponja en el patio de la primaria del Instituto Oriente hace sesenta años. En los últimos tiempos se fueron José Luis Pandal, José Luis Orbezo, Hugo Henaine, Poncho Carvajal, Gustavo Rivero, Chema Gavito, Gabriel Carpinteyro. Cáncer, ataque cardiaco fulminante, Covid. Se llevaron consigo el dolor y la derrota de sus cuerpos. Su ausencia es el anuncio irremediable de que algún día sobrevendrá la mía.
Afrontar la enfermedad. Aquella palabra que aparece cada vez más seguido en territorios concretos de tu cuerpo: una hernia inguinal, una próstata in crescendo, una vejiga agobiada, una vértebra constreñida, una várice inocultable, un lunar ennegrecido, un colapso temporal de la memoria.
Afrontar la vejez. A pesar de estar bien curtidos, los números que aportamos levantarán la ceja del médico: el colesterol arriba de 200, el pulso en reposo arriba de 90, la oxigenación en los 80, la presión arriba de 140/90. Lo sabemos muy bien los amigos cuando nos vemos: la salud es el principal tema de conversación. Unos y otros buscamos en los ojos que nos confrontan la frase marcada con rojo en el espejo: qué jodido te ves ya, mi hermano.
1
Soy campo de batalla y combatiente. ¿Cómo puede ser eso posible?
Las crónicas de batallas se escriben generalmente por tipos que tienen la mala fortuna de quedar involucrados en ellas. Si les va bien y sobreviven, la escribirán para ubicarte en la trinchera con el fusil y la bayoneta calada si el asunto ocurre en algún matadero cercano a Verdum en 1917 y el aterrado Teniente está a punto de soplar el silbato para la orden de ataque que te manda disparado hacia la muerte.
Mi guerra es más trivial, insignificante, como la de cualquiera. Contempla mi posible propia muerte por una enfermedad que pasa a cuchillo a muchísimos viejos de este mundo, la oclusión intestinal.
No hay epopeya en un divertículo, pero como todo escenario de guerra siempre el primer asalto es interesante.
4.30 de la mañana del viernes 21 de abril. La llamada al combate se produce con el retortijón en el vientre que me despierta. Apenas anoche, cuando los síntomas de un problema apuntaban a un asunto urinario propio de mis 68 años y el EGO –con ese nombrecito será difícil que salga negativo—demostraba que había que buscar otra ruta para el diagnóstico, no había visos de dolor alguno.
“Raro –le digo a Emma que ya me mira patético doblado a un lado de la cama–, no hay infección urinaria, se me hace que es una piedra, como la que me madreó en 1984,”
Un guerrero siempre tiene una mudanza que recordar para estos casos. Pero el dolor de piedra, que efectivamente reconozco muy bien, es un relámpago que se anuncia por la media espalda, muy al costado derecho o izquierdo, según el riñón que la produjo y cae sobre la víctima en espasmos que le paralizan los sesos y lo que estos controlen, estremecimientos que me llevaron por primera vez a asomarme a la brutalidad del dolor que sufren las mujeres en el parto.
“¿Pues dónde mero te duele?”, interroga la práctica historiadora Emma Yanes, ya enfundada en un pant y con la cara de vámonos al hospital que dirige al costal de lamentos que tiene por marido. A las 5 de la mañana, la ciudad al sur, por la ribera del Atoyac, todavía se guarda en la pestilencia de esa triste cañería; pero lo que sea que asalte los albañales de mi cuerpo ha plantado de seguro su bandera de victoria en el bulto que depositan en Urgencias del Hospital Puebla.
El cirujano gastroenterólogo David Ernesto Maza Olmos, en adelante el General Maza Olmos, va rumbo a otra batalla en otro cuerpo a esta hora ya tendido listo para el bisturí. Sin embargo, atento a la mía, manda la instrucción de alertar de mi llegada a Urgencias.
2
Jueves 20 de abril a las 7.20 de la noche, intento una conversación con el General Maza Olmos en Whats:
–Hola, Médico, buena noche. ¿Cómo estás? ¿Estás disponible para una llamada? Ando ponchado desde ayer, y ya ahora con temperatura en 38. Necesito una indicación tuya para ver qué procede.
–B tardes, saludos. el doc está operando, soy el enfermero. Pregunta si tiene datos respiratorios; molestias urinarias o diarrea? hay ardor al orinar, deseo de orinar poquito a cada rato, dolor en la vejiga o urgencia por orinar?
–Esto es lo que me está pasando: hay ardor al orinar, deseo de orinar poquito a cada rato, dolor en la vejiga o urgencia por orinar…
–Realizar ahora un examen general de orina y urocultivo cocn higiene previa de genitales, quitar el jabón y capturar la parte media del chorro urinario Paracetamol: 1000 mg hasta cada 8 horas para control de fiebre, no mezclar con otros meds que tengan paracetamol. y requiere antibiótico empírico y ajuste con el cultivo empezar el antibiótico después de las muestras de urocultivo y EGO. El doc sugiere ir con el urólgo Dr Bernardo Aguilar.
Atendidas las instrucciones, fracaso en lo último: el urólogo Aguilar no tiene tiempo mañana, pero tal vez en una video llamada, pero mejor que le llame el lunes; y que me vaya bien, pensará para sí.
A la media noche, ya en casa, y tras el paso por el laboratorio del Hospital Puebla, la compra del antibiótico Macrodantina y los primeros 1,800 pesos del gasto de la campaña de los divertículos, apunto en la libreta del celular:
Algo ha tomado la plaza de mi cuerpo desde ayer miércoles, y no han dado tregua. Lo que sea, aplica una táctica habitual de estrategas forjados en las guerras nacionales: confunde al enemigo. ¿Sera Covid? ¡Una piedra!, bien recuerdo la maldita de 1984 por la que entendí desde entonces el dolor de parto. No, por mis 68 años y las dificultades urinarias y esta vejiga hinchada puede ser la próstata. El enemigo, que soy yo, aturdido, atiende al fin al médico, pero el general también cae en la trampa y manda una batida contra la infección en vías urinarias. De ahí la primera visita al hospital hace un rato, el único sitio de análisis disponible para mi EGO. El resultado, que le llega por correo al general, confirma un esfuerzo inútil…
El campo queda listo para el ataque a mansalva el viernes en la madrugada, con el general y el enfermo cada uno en su casa.
3
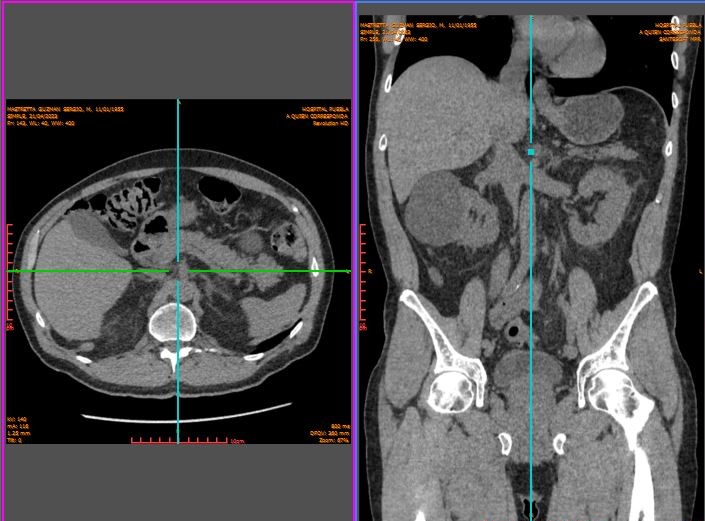
Viernes 21 a las 5.30. Emma me deja en Urgencias y enfila al estacionamiento. Llego encorvado al mostrador y pago con mi tarjeta los cinco mil pesos obligatorios para la recepción de lo que llega de mí. A partir de este momento mi cuerpo es el campo de batalla. Mi atención se centra en el dolor del vientre y las arcadas como luminarias de fuego de artillería. No registro una sola de las preguntas que pronuncia una comedida joven médico de guardia. Alcanzo a escuchar que tiene la encomienda del Médico Tratante, el general Maza Olmos, de realizar la inspección de campo que se identifica como tomografía computarizada, una TAC simple de abdomen. Allá me llevan.
Después, en su despacho en la retaguardia, el Doctor Arturo Arellano Aparicio, radiólogo del Hospital Puebla, escribirá entre otras cosas en su informe:
“Colon con propoestasis generalizada, con presencia de múltiples imágenes seculares en las paredes del segmento sigmoides proximal en relación con divertículos, los cuales predominantemente contienen gas en su interior; se observa engrosamiento parietal y aumento difusos de la atenuación del plano graso pericolónico a este nivel, en una región que abarca una longitud aproximada de 6.5 cms. Sin evidencia de aire y/o líquido libre.”
Pero en la camilla de regreso no sé nada de divertículos. Sé que sentado en la cama de urgencias descargo en el orinal un líquido pestilente que se declara refugiado de la refriega que ocurre allá muy en el fondo de mis cañerías, y que divertículos es en resumen el parte de guerra. Me imagino mapa desplegado sobre un tablón en la catacumba de una trinchera.
Divertículitis, dice la joven médico de guardia, pero no se preocupe, está en una fase leve.
La enfermera Yanet deposita un opiáceo debajo de mi lengua.
Diverticulitis aguda, confirma en uniforme de campaña el cirujano David Ureña, y rinde el parte vía celular al defensor de la plaza, el general Mazo Olmos.
Diverticulitis, subraya el urólogo Ivo Pineda muy deportivo en shorts y tenis, y como nada tiene que hacer en esta batalla, gracias por los 2 mil pesitos por venir a estas horas a Urgencias y ai se ven, que todavía tiene tiempo de llegar al gym para su rutina.
Yanet aprovecha para inyectar muy serena una primera dosis de Invaz, un antibiótico de uso muy común en la guerra química que los humanos aplicamos contra las bacterias, esos diminutos seres mitológicos muy aplicados en otorgar y quitar la vida.
Ahí, en algún punto de ese sumidero de mi abdomen, la rebelión de las bacterias. (Detalle de TAC tomada el 21 de abril de 2023.)
4
.
Mi guerra es universal. Al celular me llega uno de los centenares de informes sobre la Divertículitis aguda del colon sigmoides Hinchey 1a, como he descubierto es el caso que me aqueja.
Así la describen unos médicos investigadores en Costa Rica (Revista Médica Sinergia. Vol. 5 Num. 4. Abril 2020):
“La enfermedad diverticular, comprende un espectro de manifestaciones y situaciones clínicas distintas, entre ellas, la diverticulosis asintomática, la enfermedad diverticular dolorosa y la diverticulitis. La diverticulitis ocurre cuando las herniaciones de mucosa y submucosa del colon, también llamados pseudodivertículos, sufren de un proceso inflamatorio y desarrollan una amplia variedad de síntomas que comprende: el dolor abdominal, fiebre, náuseas vómitos, hasta el sangrado digestivo; desencadenando desde un cuadro autolimitado hasta la presencia de signos de respuesta inflamatoria sistémica y muerte.”
“Littre describió por primera vez en 1700 la enfermedad diverticular adquirida en el colon como saculaciones del mismo. En 1849 Cruveilhier fue el primero en describir el proceso anatomopatólogico de los divertículos. Más tarde, en 1899 Graser introdujo el término peridiverticulitis que sugería que la patogenia de los divertículos era la herniación de la mucosa a través de la zona de penetración de la vasa recta. Beer postuló en 1904 que el mecanismo de la diverticulitis era la impactación de materia fecal en el cuello del divertículo, lo que causaba inflamación y absceso con posible fistulización; más adelante Telling comunicó 80 casos de diverticulitis del colon sigmoideo en 1908 y 1917 junto a Gronner realizaron la descripción clásica de la enfermedad diverticular complicada.” (Revista Médica Sinergia. Vol. 5 Num. 4. Abril 2020).
Más adelante, cuando la infección haya cedido, yo mismo encontraré el significativo esfuerzo que la medicina mexicana ha realizado en los últimos años para impulsar una política de salud pública que garantice un mejor enfrentamiento de la enfermedad: Consenso mexicano sobre el diagnóstico y tratamiento de la enfermedad diverticular del colon
5
El cirujano Maza es un tipo especial. Decididamente recuerda al médico de pueblo, poco afectado por el dinero. En la primera cita que tuve con él para la hernia me dedicó cuatro horas a la auscultación física y emocional, por lo tanto histórica. Acabamos contándonos la vida y pormenores. Ahora me atiende nuevamente para este asunto de los falsarios divertículos y me pide reportes pormenorizados.
El que sigue se lo escribí alrededor de las 3.40 de la mañana del sábado 22 de abril.
Despierto después de un sueño profundo desde las 10 de la noche. Aguardo unos minutos antes de incorporarme. Cuando lo hago, me quedo sentado en la cama. Hay una sensación de saturación en la cabeza pero retrocede al circular en vertical la sangre; inicia la percepción de náusea y sobreviene una arcada que anuncia vómito. No estoy mareado. Me dirijo al baño sin mayor problema. Emma despierta y me pregunta si tengo dolor, esa palabra que desde ayer es mi segunda piel. No. Sólo cuando me río, pienso para mí. No, sólo cuando tozo o me muevo con brusquedad, como he estado desde ayer. En el baño me siento en el escusado. La náusea se convierte entonces en la posibilidad de vómito qué sube desde la boca del estómago en anuncio de revolución de ácidos. Respiro con calma y profundidad y poco a poco desaparecen náusea y sensación de vomito. Permanezco ahí, adormilado en mi asiento, imperceptible el paso del tiempo, en el silencio intenso de la noche hasta que la ciudad despierta en el acelerón de lo que seguramente es el deportivo de un junior que toma la recta de la 11 Sur en el Club de Golf como la recta de la Magdalena Michuca. Noticia, se anuncia y produce una evacuación sólida de mediana extensión; poco después orino largo y sin ningún figurín de irritación o molestia.
De regreso en cama mido temperatura, oxigenación, pulsación: 37.3, 93-94 y 85, un parte que también le doy a Emma.
A las 4.08 regresan las náuseas, justo cuando termino esta relación, y esta vez sí derivan en vómito. Extraño, me siento mejor ahora mismo.
6
Socializar o no la vida de uno. Pienso en mi amigo Günter Petrak, de mis mismos años y con sus propios problemas. La sutileza y la sabiduría en la exposición de un poeta frente a sus amigos que le queremos y seguimos en Facebook. Me animo entonces a escribir esto el sábado 22 de abril:
Divertículos. Falsaria palabra si las hay. Dolor es su rostro oculto. Me toma muy sonriente en la madrugada y me lleva al hospital para que atestigüen de la paliza que me ha dado. Ahí me dicen que el tranco de la infección la califica como leve y que por lo pronto estoy a salvo del cuchillo carnicero. De vuelta en casa, al imperio de los fármacos con el reposo absoluto y la dieta blanda como manda.
Sobrevivo.
Ese es un detalle de mí en el juego de la tercera dimensión que produce la tomografía.Vuelto bocaabajo, la panza no pierde su perfil bien ganado a los 69 años.
7
El dilema del Médico, un paciente o un amigo. Si no guarda distancia ya no verá cólones averiados y reparables o drenaje taponado de inmundicia desbordada para el que no hay más remedio que el cuchillo, la reconexión y los tres meses de cargar tu bolsita en el costado. Lo que verá será a un ser desesperado al que quiere y que puede morir en sus manos. Mejor frialdad y distancia. Lo entiendo.
Como quiera, el Doctor Maza Olmos se cuece aparte. No es un general que desde la colina contempla la masacre. Y defiende sus estrategias y me pone en mi lugar con comunicados precisos que extrae de la bitácora Whats. A mi queja sobre la inutilidad del fastidioso estudio del colon en busca de fantasmas en marzo de 2022, la famosa colonoscopía, sin la que no iría más lejos en la conversación sobre la operación de la hernia inguinal que me afectaba entonces, me responde con una frase con la precisión, concisión y claridad del bisturí periodístico y con una imagen precisa del chat:
“Sí lo indicó, y yo mandé en aquel entonces la dieta.”
Me quito entonces la cachucha de combatiente y regreso a mi humilde condición de campo de batalla.
8
El antibiótico es mi ejército mercenario. Mi cuerpo es el escenario de una guerra bacteriológica. En condición de ataque poco importan científicos y marcas farmacéuticas. Los mercenarios están en el mercado. Igual que los albañiles plomeros y electricistas esperan su clientela en el jardín de Los Sapos en la ciudad de Puebla. Mala suerte si no puedes comprarlos mexicano. La salud pública hace tiempo que no se rige por la justicia social. Urgencias es la ruta corta para entender la existencia de las clases sociales: el acceso a la amoxicilina, ampicilina, ciprofloxacino, levofloxacino, moxifloxacino, azitromicina, claritromicina, eritromicina, cefaclor, cefalexina, cefuroxima y demás inas inos dispuestos para matar a lo que te mata cuando llegas torciéndote a Urgencias. Si no te las aplican, dios te salve, si algún auxilio esperas de traerlo a cuento.
El antibiótico Invaz que me ha inyectado la habilidosa Yanet lo cobra el Hospital Puebla en 2,755 pesos. Las dosis que me aplicarán en los próximos días cuestan 2,057 pesos cada una en la farmacia de la esquina. INVANZ contiene ertapenem que es un antibiótico del grupo de los betalactámicos de amplio espectro, es decir un todo terreno para topar contra cuanta bacteria se encuentre en su camino.
Me lo aplican viernes, sábado, domingo y lunes –cuatro días que definen mi cuerpo como “molido por piedra de molino”– para dejar paso después a la amoxilina en pastillas. En ninguna de las noches que cierran esos días el ertapenem evita que la fiebre alcance los 38.5 grados.
Colonias de ‘Streptomyces coelicolor’ produciendo el antibiótico coloreado azul actinorrodina (gotas) y el antibiótico rojo undecilprodigiosina (borde de la colonia). Foto tomada del reportaje “Logran nuevos avances en el conocimiento de bacterias que producen antibióticos”, de la Agencia Iberoamericana para la difusión de la Ciencia y la Tecnología.
Averiguo sobre el mercenario ertapenem en Wikipedia:
“Los carbapenémicos son un tipo de antibiótico betalactámico con amplio espectro de actividad bactericida y sumamente resistentes a las betalactamasas. Esta clase de antibióticos fueron descubiertos originalmente del microorganismo Streptomyces cattleya, el cual, produce su propio antibiótico llamado tienamicina.”
Qué son entonces las betalactamasas:
“La producción de betalactamasas –afirma el investigador cubano Daniel Morejón García— es uno de los principales mecanismos de resistencia bacteriana. Las betalactamasas son enzimas capaces de inactivar los antibióticos de la familia betalactámicos (penicilinas, cefalosporinas, monobactámicos y carbapenémicos). Las primeras descripciones de estas enzimas se realizaron poco tiempo después de comenzado el uso de las penicilinas. Con el surgimiento y uso repetitivo de nuevos betalactámicos, penicilinas semisintéticas y cefalosporinas fueron apareciendo nuevas variantes de betalactamasas, hasta que en 1983 se describen por primera vez las llamadas betalactamasas de espectro extendido capaces de inactivar las cefalosporinas de tercera generación (ceftriaxona, cefotaxima, ceftazidima) y el aztreonam. Aunque se han descrito con mayor frecuencia en cepas de Klebsiella pneumoniae y Escherichia coli, las betalactamasas de espectro extendido pueden ser producidas por cualquiera de las enterobacterias, incluso por los bacilos no fermentadores P. aeruginosa y A. baumannii.”
Yo mismo soy el parte de guerra en esta guerra de resistencias tan natural en la vida humana: antibióticos, bacterias, enzimas que se destripan en el campo minado de mis divertículos defendido a mordiscos por mi sistema inmunológico. Al calor de los 38.5 se baten pelotones de leucocitos llegados por infinitesimales vasos sanguíneos armados de robustas proteínas; desde los canales linfáticos los linfocitos T vienen en auxilio desde la médula ósea. Pero en la fiebre de la media noche las bacterias no son esas viles alimañas que se perderán en el albañal del rio Atoyac. Igual que yo, luchan por su vida, se esconden, contraatacan, intentan construir un absceso, se diluyen y vuelven a producir nuevas enzimas contra mi ejército de leucocitos y mercenarios.
Klebsiella-pneumoniae, del género bacteriano Klebsiella, compuesto por bacterias Gram negativas de la familia Enterobacteriaceae, que desempeñan un importante papel como causa de las enfermedades infecciosas oportunistas. El género fue llamado así en honor a Edwin Klebs, un microbiólogo alemán de finales del siglo XIX. (Wikipedia)
En el camino, y hasta el momento sin remedio, esta resistencia microbiana nos vuelve cada vez más vulnerables a los adultos mayores como yo. Encuentro el grito en el desierto de la Organización Mundial de la Salud (ONU): En los últimos cinco años, solo se han aprobado doce antibióticos.
“”Hay una gran brecha en el descubrimiento de tratamientos antibacterianos –dice Hanan Balkhy, subdirectora de la OMS–, y aún más en el descubrimiento de tratamientos innovadores. Esto supone un serio reto para superar la creciente pandemia de resistencia a los antimicrobianos y nos deja a todos cada vez más vulnerable a las infecciones bacterianas, incluidas las más simples.”
La creciente insuficiencia de los antibióticos.
Los mercenarios de Invaz ya tienen cuatro días en el campo, y el reporte de bajas del enemigo solo puedo medirlo con tomografías de cinco mil pesos por muestra y subes y bajas del termómetro. El enemigo se refugia en el paracetamol, dice el general Maza Olmos. Lunes 24, martes 25 y miércoles 26 todavía son días sin descanso para los combatientes de mi guerra bacteriológica.
9
El miércoles 26 ya estoy en condiciones de reportar al cuartel general. Todo gira en torno al termómetro:
Reporte del miércoles 26, 4.17 de la tarde:
Temperatura ahora, a media tarde, 37.4.Por la mañana estuvo en los 36.6. Desaparecido dolor en el abdomen. Lo nuevo son dolores musculares en cuello y espalda. Oxigenacion en 95. Pulso 88. Canales 1 y 2 funcionando a la perfección. El cuerpo, en general, molido y con poca batería. Alimentacion: como un poco más, empieza a haber más hambre.Dediqué unas tres horas en partes a escribir sobre unos pendientes importantes.
Reporte miércoles 26, 7.14 de la nochecita:
Médico, buena noche. Con la novedad de que la temperatura en este momento está en 38.1
Respuesta del General Maza Olmos:
Aunque vas mejor, Me preocupa fiebre. Considero que lo conducente es mañana hacer una TAC simple para descartar absceso. Es una complicación posible tardía. Y requeriría punción con anestesia local para drenarlo.
Así que nueva alarma en el vecindario. Desenvaino el celular para buscar “punción abdominal”; dice Medicine Plus: Se emplea para extraer líquido del área entre la pared ventral y la columna. Un espacio denominado cavidad abdominal o cavidad peritoneal.
Y como el médico necesita de guía de ultrasonido no la hará en el consultorio. Para un ambulatorio en El Ángeles o en el Hospital Puebla tienes que poner delante de tu cuerpo 15 mil pesos. Y luego la punción, casi a la manera del siglo XIX. Escalofríos.
Pero la libro. La TAC que me realizan el jueves 27 logra esta exclamación del General Maza Olmos:
Mejoría franca. No absceso. Nada Que puncionar
El viernes 28, diez días y 36 mil pesos de Gastos Médicos después –tendré que informarle al SAT–, el General Maza Olmos declara liberada la plaza tras el resultado de la tercera tomografía de mi abdomen averiado.
“Fibra – me dice–, la misma dieta que no seguiste hace un año.”
10
En estos días he sido incapaz de escuchar la finísima alarma del termómetro que aprieta mi axila. Mis hijas la escuchan si de momento están en la habitación. Ya, papá, me dicen cuando yo no escucho el mínimo pitido. No les ofrezco mi versión respaldada en la física y en la conjunción de ondas con la que mi tinitis armoniza el termómetro permanente degenerativo de mis oídos.
Domingo 30 de abril. Percepción de la edad. ¿Cuándo dejas de ser niño?





